
ALTERAÇÕES DA CIRCULAÇÃO

A

B
A) Lâmina 12 - Órgão: Pulmão, HE, 320x. Processo Patológico: Edema e hiperemia.
É possível identificar o órgão pela presença dos alvéolos relativamente preservados. Podemos observar grupos de alvéolos preenchidos por material eosinofílico (seta), que frequentemente forma espaços opticamente vazios. Tanto o material eosinofílico como os espaços vazios representam o edema. As áreas róseas têm concentração de macromoléculas (principalmente proteínas exudadas) suficientes para fixar o corante, enquanto nas áreas opticamente vazias continha apenas água e pequenas moléculas solúveis, que são retiradas no processamento histológico ou não tem afinidade por corantes. Algumas bolhas arredondadas são vistas na intimidade do material róseo e representam o ar que se mistura com o líquido do edema. De modo difuso no campo, é possível observar que os vasos estão carregados de hemácias, caracterizando um processo de hiperemia.
B) Lâmina 12 - Órgão: Pulmão, HE, 320x. Processo Patológico: Edema, hiperemia e antracose.
Neste campo, a hiperemia é representada pelo acúmulo de hemácias no interior do vaso sanguíneo. A antracose é o acúmulo de um pigmento de cor negra, derivado do carvão, distribuído em pequenos focos pelo parênquima pulmonar (seta). O pigmento se acumula tanto no interstício quanto no interior dos macrófagos, e isoladamente não causam lesão pulmonar. Em algumas regiões é possível observar grupos de alvéolos preenchidos por material eosinofílico representando o edema.

c

d
C) Lâmina 13 - Órgão: Fígado, HE, 320x. Processo Patológico: Fígado cardíaco de 2º grau.
É possível identificar o órgão a partir da presença dos cordões de hepatócitos nos lóbulos hepáticos. Nas regiões centrais dos lóbulos hepáticos (a direita na imagem) observa-se acúmulo de sangue, que é representado por uma área de material vermelho que mascara a estrutura hepática. Nesse local, desapareceram os limites das trabéculas e da parede dos sinusóides, formando um lago sanguíneo em que as hemácias são corpúsculos redondos ou deformados de cor homogênea castanho-avermelhada. As áreas teciduais mostram hepatócitos com vacúolos claros (cabeça de seta), característicos dos processos de esteatose e degeneração hidrópica, que se instalam como consequência da hipóxia. Nas regiões periféricas do lóbulo (a esquerda), os hepatócitos próximos aos espaços porta (asterisco) são normais (seta).
D) Lâmina 13 - Órgão: Fígado, HE, 1.250x. Processo Patológico: Fígado cardíaco de 2º grau.
Em maior aumento da região afetada, há esteatose macrovacuolar (cabeça de setas), representada por grandes vacúolos opticamente vazios e há esteatose microvacuolar (setas), que se caracteriza pela existência de numerosos vacúolos pequenos, o que dá à célula o aspecto semelhante a um adipócito multivesicular. Note ainda a presença de hemácias acumuladas, mais presentes à esquerda do campo.

e

f
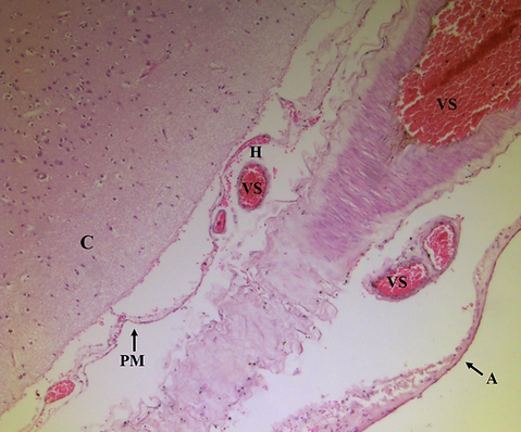
E) Lâmina 14 - Órgão: Cérebro, HE, 320x. Processo Patológico: Hemorragia subaracnoide.
Esta fotomicrografia mostra o córtex cerebral (C) preservado, a pia-máter (PM) sob a forma de delgada membrana, os vasos sanguíneos (VS) no espaço subaracnoideo e a aracnoide (A). O espaço subaracnoideo está preenchido por sangue que ocupa o espaço extravascular (hemorragia - H). O sangue pode ser reconhecido pelas hemácias que se apresentam como corpúsculos cuja coloração está entre tons de amarelo e vermelho e pelo plasma que geralmente formam massas eosinofílicas.
F) Lâmina 14 - Órgão: Cérebro, HE, 620x. Processo: Hemorragia subaracnoide.
O córtex cerebral (esquerda) está preservado. O espaço subaracnoideo está preenchido por sangue que ocupa o espaço extravascular (hemorragia - H). O sangue pode ser reconhecido pelas hemácias que se apresentam como corpúsculos cuja coloração está entre tons de amarelo e vermelho e pelo plasma que geralmente formam massas eosinofílicas.

g

h

i
G) Lâmina 15 - Órgão: Coração, HE, 320x. Processo Patológico: Infarto do miocárdio.
Nesta fotomicrografia, o miocárdio mostra-se preservado (à direita) e é possível reconhecer os cardiomiócitos. No campo está evidente uma área de infarto recente (IR), também denominado de necrose isquêmica ou necrose por coagulação. Essa região é caracterizada por apagamento dos núcleos (cariólise) enquanto o citoplasma perde a estrutura fibrilar, torna-se homogêneo e mais eosinofílico. Nesta região, os núcleos observados são de leucócitos infiltrados no interstício. Ao redor do infarto recente observa-se um halo inflamatório (HI), que são leucócitos que migraram para a região
afetada. Há ainda uma região de hemorragia (seta), onde há o extravasamento de hemácias para o interstício do miocárdio.
H) Lâmina 15 - Órgão: Coração, HE, 1.250x. Processo Patológico: Infarto do miocárdio recente.
Esta fotomicrografia ilustra em detalhes uma área de infarto recente. Observa-se apagamento dos núcleos (cariólise - seta) e o citoplasma perde a estrutura fibrilar, tornando-se homogêneo ou granuloso, com maior afinidade pela eosina (acidofilia) corando-se em vermelho intenso.
I) Lâmina 15 - Órgão: Coração, HE, 320x. Processo Patológico: Infarto do miocárdio antigo.
Em outra região da mesma lâmina, há uma área de infarto antigo (IA) caracterizada por deposição de tecido conjuntivo rico em colágeno, em local anteriormente ocupado por cardiomiócitos que sofreram morte celular.

j

k
J) Lâmina 16 - Órgão: Intestino - Artéria mesentérica, HE, 120x. Processo Patológico: Trombo.
No interior do ramo arterial formou-se um trombo, que é representado pelo material eosinofílico com aspecto hialino sob a forma de traves (ou trabéculas) (setas) de espessura variável que se anastomosam, delimitando espaços também variáveis.
K) Lâmina 16 - Órgão: Intestino - Artéria mesentérica, HE, 620x. Processo Patológico: Trombo.
Observa-se o trombo constituído por traves anastomosadas mais espessas de material homogêneo eosinofílico, rico em plaquetas e fibrina, delimitando espaços maiores (setas). Em outras regiões mais delgadas, ricas em fibrina e plaquetas, formam-se malhas finas que aprisionam hemácias e leucócitos (cabeça de seta).